Власник сторінки
Заслуженный врач Украины, профессор
Коронавирус коронавирусом, но у нас растёт количество больных тяжелым гриппом и, следовательно, смертей
Стационары переполнены, включая отделения реанимации. На мой взгляд, пик ещё впереди, так что будем бдительны.В связи с этим опять хочу напомнить некоторые моменты ведения больных уже в разгар сезона:
- семейным докторам: если у больного второй день держится высокая температура, если появляется чувство затруднённого дыхания или он проявляет беспокойство - направляйте больных в стационар. В любом случае не занимайтесь полипрагмазией, но вовремя назначайте специфическое противовирусное лечение;
- врачам экстренной медицинской помощи: в случае тяжелого течения, особенно если больной обращался несколько раз за помощью в течение суток-двое, настоятельно объясняйте необходимость в госпитализации. Ни в коем случае не проводите инфузионную терапию на дому у больного с подозрением на грипп, не назначайте ГКС без острой необходимости; температура тела, плохо поддающаяся коррекции - одно из показаний к экстренной госпитализации согласно Приказу МЗ Украины №34 от 15.01.2014 г.
- пациентам: не злоупотребляйте жаропонижающими, помните, что аспирин противопоказан для снижения температуры тела при гриппе, не принимайте без показаний антибиотики, если вы группа риска, обращайтесь к врачу в первый день повышения температуры (и развития гриппоподобного синдрома), если предлагают - не отказывайтесь от госпитализации. Поверьте, весь мир подождёт, вот честное слово...
О том, что этот сезон будет непростой, я говорила в начале января. Это для тех, кто присоединился позже и не читал:
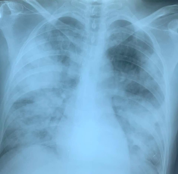
На фото: такие необратимые изменения в легких наступают в сроки от 3 до 5-7 дней. Берегите себя.

P.S. Несмотря на то, что Приказ №34 отменён Mинздравом в прошлом году ради того приказа по экстренной помощи (05.06.2019 № 1269), над которым все уже посмеялись, где есть телефон, куда нам с вами звонить в случае укуса тихоокеанской акулы, в нашем старом приказе здравого смысла и полезных практических советов гораздо больше.
Рубрика "Блоги читачів" є майданчиком вільної журналістики та не модерується редакцією. Користувачі самостійно завантажують свої матеріали на сайт. Редакція не поділяє позицію блогерів та не відповідає за достовірність викладених ними фактів.